江戸川病院×ソラリアクリニック東京が共同で行っている治療の特設ページです。
放射線治療後再発乳がんを対象としたBNCT(ホウ素中性子捕捉療法)を行っています。
江戸川病院では放射線治療後再発乳がんを対象としたBNCT(ホウ素中性子捕捉療法)のパイロット試験、医師主導の特定臨床研究を本年7月5日より開始いたしました。 詳細につきましては、厚生労働省のデータベース【JRCT】をご覧ください。
BNCTとは?
ホウ素中性子捕捉療法(BNCT)は、エネルギーの低い中性子とがん細胞・組織に集積するホウ素化合の反応を利用して、がん細胞を破壊する、最先端の放射線がん治療法です。BNCTは、「Boron:ホウ素」「Neutron:中性子」「Capture:捕捉する」「Therapy:療法」の頭文字から成っています。 日本語では「ホウ素中性子捕捉療法」といいます。


BNCTでは、がん細胞に取り込まれやすいホウ素化合物を使用します。 そのため、癌細胞を選択して破壊する治療法といえます。
◆細胞選択的
BNCTは癌を細胞単位で選択し破壊します。そのため正常細胞には影響は少なくなります。
◆領域選択的
「放射線治療(陽子線・重粒子線含む)」では、正常細胞とがん細胞が同じような影響を受けます。 そのため、正確に照射領域を決定し、正常な細胞にダメージを与えないことが重要になります。
※「放射線治療(一般放射線治療・陽子線・重粒子線含む)」では、がん細胞と正常細胞の区別ができません。 よってBNCTは身体への負担の少ない癌治療といえます。
BNCTは放射線がん治療法
BNCTは最先端の放射線がん治療法の1つです。
ホウ素に中性子を当てると、細胞1つ分程度の距離しか飛ばない粒子(アルファ線とリチウム粒子)が発生します。
この原理を利用して、ホウ素をがん細胞にできるだけ選択的に取り込ませてがん細胞を破壊します。

BNCTのしくみ
ホウ素化合物と中性子が衝突し、核分裂によって生じる 粒子線の一種「α線」によって がん細胞だけを内側から死滅させます。 正常細胞はそのまま戻ります。 *癌細胞と正常細胞の混在も対応できます。

BNCT・ホウ素中性子捕捉療法では、以下の様な仕組みでがん治療を行います。
①がん細胞に取り込まれやすいホウ素をあらかじめ投与します。
②このホウ素に加速器から得られる「中性子」を照射します。
③ホウ素と中性子が衝突し核分裂によって放射線を出し、がん細胞を内部からたたきます。

ホウ素化合物の取り込みの程度に応じて、正常細胞も影響を受けます。 詳しくは、副作用についてをご確認ください。
ホウ素 10 はどのようにして腫瘍に蓄積する?
・がん細胞が増殖すると、アミノ酸トランスポーターの発現が増加します。
・現在日本で使用されている BPA はアミノ酸に似た構造をしており、ホウ素 10 で標識されています。
・BPA は毒性が低く、薬効のないホウ素送達分子です。
・アミノ酸トランスポーターを介した腫瘍へのホウ素-10 の濃縮。
・写真はステラファーマ株式会社のステボロニンという製剤で、BNCTの保険適応や臨床研究に使用されています。

BNCTと原子炉
これまでの手法では、中性子を発生させるために原子炉が必要とされていました。
BNCTは新たながんの治療法として大変期待が持てるがんの治療法です。
エネルギーの低く、人体に影響のない中性子を得るには、発生源を原子炉に求める他なかったので、日本でも限られた原子炉施設でのみ研究として行なわれてきました。
安全性についても原子炉施設では常に核燃料を有しており、その管理も非常に大変なものとなります。
この治療環境ではがん患者さんへの負担も大きく、且つ一般の医療機関で行えるがん治療法として普及させる事は不可能で、大きな課題となっておりました。

BNCTと加速器
「原子炉」というBNCTを普及させるための制約から解放されるために、加速器という、今までと違った方法で、治療に必要な中性子が出せるようになりました。 一般の医療機関にも導入が可能となり、多くのがん患者さんにこのBNCTを提供できるようになります。

加速器の小型化
病院に設置することができる、小型加速器が開発されました。 核燃料を使用せず、電源を切れば放射線が射出されません。 医療としての普及の可能性が広がり、BNCTによるがん治療に注目が集まっています。
中性子はどのように生成される?

BNCTの位置づけ

放射線治療との違い
放射線治療は、陽子線治療や重粒子線治療、定位放射線・マクロ的ピンポイント照射など大きく進展しました。 これらの治療法では領域選択性は抜群の精度を有します。 しかし、がんを細胞レベルで区別することはできず、本質的にはなんら手術切除と変わりません。 X線、重粒子線、陽子線は、照射の必要が無い正常な細胞へも影響を与えます。
BNCTは、正常な神経細胞を保護し、がん細胞を選択して、ミクロン単位で一つ一つ死滅させる治療法です。 また、従来の放射線治療では、正常な細胞へ影響が少ないように、数十回程度に分けて照射します。そのため、治療には1か月以上かかります。 しかし、BNCTでは、正常な細胞への影響が少ないことから、原則的に1回の照射で治療が完了します。 従来の放射線治療と比較して、BNCTの副作用は少ないです。

FDG-PET陽性表在性腫瘍に対するホウ素中性子捕捉療法の予備試験
・BNCTの分野では、FBPA-PETを用いてホウ素薬剤の蓄積度を確認する研究が行われているが、FBPA-PETは自己診断であり、設備の整った医療機関は少ない。
・FDG-PETは現在、がんの診断に広く使われており、簡単に検査することができます。
・この研究では、FDG-PET陽性で体表から6cm以内に位置する腫瘍に対してBNCT治療を実施します。
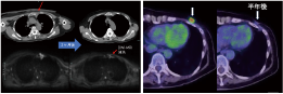
当院のBNCT症例


写真内の電子捕獲は一貫しています。CT では捉えられない播種の例が再発病変の周囲で見つかりました。 この種の再発病変は通常乳がんですが、病変の範囲を特定するのは容易ではなく、放射線治療、陽子線、重粒子線は適していません。

BNCT は巨大な腫瘍を治療できます。ただし、他の放射線療法と同様、画像検査で腫瘍が縮小し始めるのは治療後 2 か月目以降です。
副作用について
BNCTではホウ素の薬が集まる腫瘍しかダメージを受けない、と説明されがちです。 しかし、実際には正常組織の一部にもホウ素薬剤が集まりやすいものがあり、これらの正常組織ではダメージを受けて副作用を生じることになります。
頭頸部癌では、だ液腺のはれ、吐き気や食欲の低下、口内炎、脱毛などが生じます。
患部の場所や状態によって、これら以外にも多彩な副作用が生じますので、治療前に詳しく説明させていただきます。
施設について
江戸川病院のBNCT棟です。放射線治療後再発乳がんを対象としたBNCT(ホウ素中性子捕捉療法)を行っています。







交通のご案内

〒104-0061
東京都中央区銀座1-5-8
Ginza Willow Avenue BLDG 5階
お問い合わせ | ソラリアクリニック東京
受 付 時 間 | 月~土曜日 11:00~19:00
電 話 番 号 | 03-5524-1850
電車でお越しの方
JR有楽町駅から
- 京橋口より徒歩約5分
東京メトロ有楽町線銀座一丁目駅から
- 6番出口より徒歩約1分(2本目の交差点を右折し、すぐ左側)
- 5番出口より徒歩約1分(右に直進し、交差点を渡った左側)
- 4番出口より徒歩約2分(右に進み、1つめの角を右折。直進し、3つめの交差点を左折したすぐ左側)
- 3番出口より徒歩約2分(左に進み、1つめの角を左折。直進し、3つめの交差点を左折したすぐ左側)
東京メトロ銀座駅から
- C8出口より 徒歩約3分
- A13出口より 徒歩約4分

〒133-0052
東京都江戸川区東小岩2丁目24-18
お問い合わせ | 江戸川病院 放射線治療室
受 付 時 間 | 月~金曜日 9:00~17:00
電 話 番 号 | 03-5876-7685
電車でお越しの方
JR小岩駅から
- 京成バス JR小岩駅南口より、2番乗場から72番系統バスにて約8分「江戸川病院」下車すぐ
- タクシー 小岩駅南口タクシー乗り場より、約5分
- 徒歩 JR小岩駅南口より約15分
京成江戸川駅から
- 徒歩 京成江戸川駅より約15分
京成小岩駅から
- タクシー 京成小岩駅より約15分
車でお越しの方
お車でお越しの方は、最寄りの駐車場をご利用ください。

駐車台数 ※全箇所:無料
- 駐車場1:27台
- 駐車場2:(1F:11台+軽1台/2F:16台+軽2台)
- 駐車場3:30台
- 駐車場4:13台
- お問い合わせ -
CONTACT